About Us

We all need a confident smile, which can only happen when we have a bright and strong tooth to display. However, due to a lack of dental care, people end up facing issues at a later stage. If you are facing dental issues and need a professional dentist to offer you the best treatment, Vijaya Dental Hospital is the best dental clinic in Hanamkonda, Warangal.

At Vijaya Dental Hospital, we enhance your teeth’s appearance and functionality so you can lead a happier and healthier existence.

Our patients’ treatment is something we take great pride in. No matter where you are in Hanamkonda,Warangal , we welcome clients and offer benefits in dentistry and medical issues. We take great satisfaction in creating a positive first impression for all our patients and fostering enduring connections with them.

We are Specialized in

As a leading family dental care clinic in Hanamkonda, we follow American Dental Association’s update to treat patients for every dental problem. 4 Ways that make us different are-

1. Patient-Centric Dental Treatment

To assist you in achieving your long-term dental health and smile goals, we pledge to get to know you better.

2. Cosmetic dentist with expertise

We are here to help you smile more attractively and confidently because we are experts in smile design.

3. Excellent Innovations

We use modern tools and techniques for dental treatment, ensuring you stay confident about our dental service.

4. Expert in dental implants

With the help of our experienced implantologist, learn about permanent and painless tooth replacement options.

Our Dental Services

Our skilled team ensures a comfortable and personalized experience, utilizing cutting-edge technology to deliver top-notch dental solutions.

Intraoral Scanner

have become an integral part of modern dentistry, offering several advantages over traditional impression methods.

Dental Implants

Implant procedures for secure, durable tooth replacements that restore your smile's functionality and aesthetics.

Root Canal

Precise and painless root canal treatments to alleviate discomfort and preserve the natural integrity of your teeth.

Crowns & Bridges

Customized crowns and bridges to restore damaged teeth and fill gaps, ensuring function and appearance.

Bonding / Cosmetic Fillings

Skillful bonding and cosmetic fillings to repair minor imperfections, creating a healthy-looking smile.

Braces

Orthodontic expertise in braces for effective alignment, correcting misalignments for achieving a straighter teeth.

Pediatric Dentistry

Gentle and specialized care for children promoting a lifetime of oral health through positive dental experiences.

Oral Surgery

Expert oral surgery services, including extractions and wisdom teeth removal for a comfortable and swift recovery.

Periodontics

Dedicated and professional periodontal care to maintain healthy gums, preventing and treating gum diseases.

Dentures

Customized denture solutions, providing functional and aesthetically pleasing replacements for missing teeth.

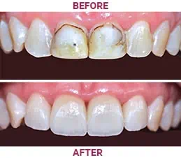
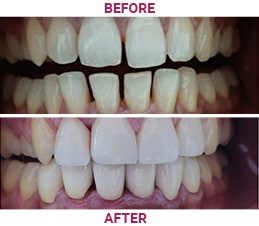
Cosmetic Dentistry

Transformative cosmetic services, including teeth whitening and veneers, enhancing your smile's beauty.

Invisible Aligner

Invisible aligners are a discreet and modern orthodontic solution designed to straighten teeth and correct bite issues without the use of traditional braces.

Why Choose Us

Top in Class Sterilization

We prioritize sterilization and hygiene by employing autoclaves and UV radiation.

Cost Effective Dental Care

We offer cost-effective, cutting-edge dental treatments to all our patients

Work Experience

All Our Best Dental Clinician have more than 10+ years of experience in their related specialization

Speciallity Treatment

You will receive treatment exclusively from the relevant specialist, all of whom hold MDS qualifications.

Expertise You Can Trust

With years of experience and a passion for dentistry, our team is equipped to handle all your oral health needs.

Comfort at Every Step

We prioritize your comfort, ensuring a relaxing and pain-free experience with every treatment.

Affordable, High-Quality Care

We offer top-tier dental treatments at competitive prices, making excellent care accessible for everyone.

Government Schemes

Medical Reimbursement

EHS / JHS

Singareni

TSNPDCL

TSSPDCL

TSGENCO

TSTRANSCO

BAJAJ FINSERV

Success Stories

10+

Experience Doctors

16+

Years Of Experience

1,00,000+

Success Cosmetic & Implant Cases

Book Appointment

Vijaya Dental Hospital

For Healthy Smile